Um austríaco de 52 anos que fumava um maço de cigarro por dia durante mais de 30 anos teve uma rara complicação associada ao hábito de fumar. Médicos encontraram cerca de 9 fios de cabelos que cresceram no fundo da garganta do paciente. Os cabelos encontrados precisaram ser removidos continuamente por 14 anos, já que eles ganhavam em média cinco centímetros por ano.
De acordo com o relato dos médicos, publicado no American Casa Reports no último dia 18, o homem tinha tosse crônica e irritação persistente na garganta que se mantiveram durante mais de 26 anos e eram causados pelos fios que nasceram no interior da traqueia do homem.
Segundo o portal Metrópoles, o histórico do paciente está relacionado com a evolução do problema. Quando o paciente tinha 10 anos, quase morreu afogado. Durante o resgate, foi necessário fazer uma traqueostomia e a abertura ficou em seu pescoço por quase quatro anos. Para fechar a traqueia, foi utilizado um enxerto de cartilagem feito com parte de sua orelha.
Quando chegou aos 20 anos, o homem começou a fumar, um hábito que manteve até completar 50 anos. Logo apareceram tosses que foram piorando com o passar do tempo em uma ocasião, o austríaco chegou a tossir um cabelo. A voz dele também ficou extremamente rouca, e ele relatava uma sensação constante de irritação na garganta.
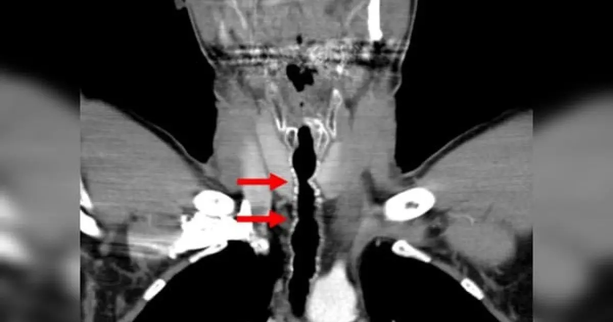
Ao ter 35 anos, os médicos decidiram fazer um exame usando câmeras para entender as origens de tantas complicações e descobriram que ele tinha uma úlcera na traqueia e um conjunto de nove fios de cabelo crescendo perto das pregas vocais.
Segundo os médicos, as substâncias tóxicas encontradas presentes no cigarro criaram uma inflamação na garganta do paciente, obrigando as células transplantadas da orelha a se adaptarem para sobreviver. Foi desta forma que os folículos capilares se desenvolveram.
Mesmo os pêlos tendo sido removidos manualmente com uma “depilação endoscópica por fórceps”, como descrevem os médicos, foram necessárias várias sessões de manutenção anuais para remover repetidamente os fios com comprimento de até 5 cm.
A condição só foi controlada quando o homem deixou de fumar, em 2022, 14 anos após o início dos sintomas. Na ocasião, os médicos puderam fazer um procedimento que queimou as células capilares que estavam crescendo na garganta dele, impedindo o nascimento de novos pelos.
Fonte: Bahia Notícias






